대표전화
온라인상담
네이버톡톡
네이버예약
오시는길
×
개인정보 취급방침
개인정보 처리방침에 대한 내용을 입력하십시오.
×
이용약관
서비스 이용약관에 대한 내용을 입력하십시오.
치아를 살리는 치과
치아살리기란?
의료진소개
치아살리기 특별함
치아살리기 치료
치아살리기
잇몸살리기
잇몸재생교정
전악재건술
임플란트
임플란티아의 임플란트
고난이도 임플란트
전체 임플란트
임플란트 전후사진
치아교정
고난이도 치아교정
비발치교정
치아재교정
성장교정
일반진료
보철치료
보존치료
치주치료
틀니치료
사랑니발치
치아보험 도움받기
커뮤니티
치료 전후사진
치료후기
언론기사
임플란티아소식
온라인 상담
닫기
로그인
회원가입
치아를 살리는 치과
치아살리기란?
의료진소개
치아살리기 특별함
치아살리기 치료
치아살리기
잇몸살리기
잇몸재생교정
전악재건술
임플란트
임플란티아의 임플란트
고난이도 임플란트
전체 임플란트
임플란트 전후사진
치아교정
고난이도 치아교정
비발치교정
치아재교정
성장교정
일반진료
보철치료
보존치료
치주치료
틀니치료
사랑니발치
치아보험 도움받기
커뮤니티
치료 전후사진
치료후기
언론기사
임플란티아소식
온라인 상담
로그인
회원가입
치아살리기 치료
잇몸재생교정
잇몸재생교정란?
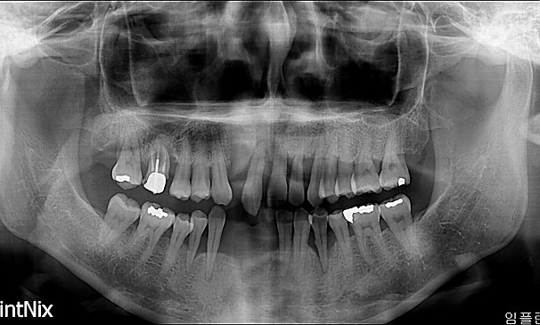
치주배열이 완전히 무너져서 치아들이 뒤틀리고 치아 사이가 벌어지게 되면
저작을 할 때 마다 치아는 더욱 이탈 되면서 벌어지면서 심한 경우에는 치아가 입 밖으로 튀어 가오게 됩니다.
이럴 때 치아를 원래 있었던 자리로 되 돌리면서 동시에 저작에 의한 교합력에 의해서도
치아가 다시 벌어지지 않게 만든 다음에 치주와 잇몸을 재생시키는 교정입니다.
치아살리기
잇몸살리기
잇몸재생교정
전악재건술
비발치교정
잇몸재생교정
잇몸재생교정
잇몸재생교정
잇몸재생교정
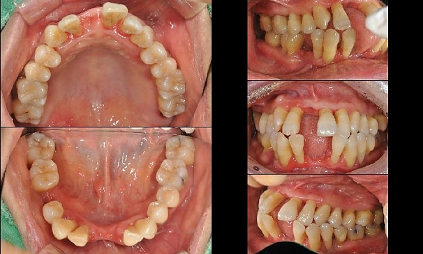
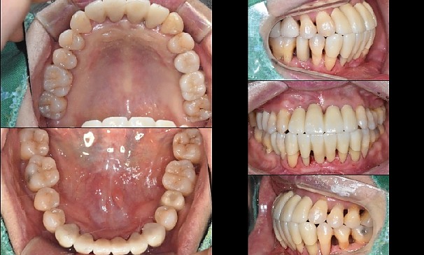
박OO님 전후사진 | 치료 기간 : 30
치료 전
로그인 후 이용해주세요
전후사진은 회원 로그인 후 확인 가능합니다.
로그인하기
치료 후
잇몸재생교정
명OO님 전후사진 | 치료 기간 : 30
치료 전
로그인 후 이용해주세요
전후사진은 회원 로그인 후 확인 가능합니다.
로그인하기
치료 후
+
케이스 더 보기